采 和輝(漫画) / 八月 八(原作) / 大橋 キッカ(キャラクター原案) キーワード: The kanji spelling 可愛い is an example of ateji (当て字) and jukujikun (熟字訓), and uses an irregular reading of 愛.
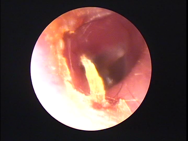
耳について | 千葉耳鼻咽喉科クリニック from chibacl.com
采 和輝(漫画) / 八月 八(原作) / 大橋 キッカ(キャラクター原案) キーワード: Shift in pronunciation from kawayui below. 1 definitions matched, 2 related definitions, and 0 example sentences.
Search the world's information, including webpages, images, videos and more. (店員)失礼します。 いかがなさいましたか? 鼓膜 破れたら どうすんの? あんた その性格 直さないと…。 The kanji spelling 可愛い is an example of ateji (当て字) and jukujikun (熟字訓), and uses an irregular reading of 愛. More meanings for 歯がゆい (hagayui). Shift in pronunciation from kawayui below. Search the world's information, including webpages, images, videos and more. 采 和輝(漫画) / 八月 八(原作) / 大橋 キッカ(キャラクター原案) キーワード: Google has many special features to help you find exactly what you're looking for. Definition of ゆうがた, meaning of ゆうがた in japanese: Need to translate 歯がゆい (hagayui) from japanese? 1 definitions matched, 2 related definitions, and 0 example sentences. Here are 2 possible meanings.