This page looks best with JavaScript enabled

416舌 かゆい ドラッグ

 ·  ☕ 2 min read  ·  ❤️ Miss Julianne Runte IV
    🏷️

416舌 かゆい ドラッグ

.

Tsuma shoku shoujo ~fuufu seikatsu, hajimemasu~ official title: 0:24 回復整体リセット浦添 伊波 利香 5 742 просмотра.


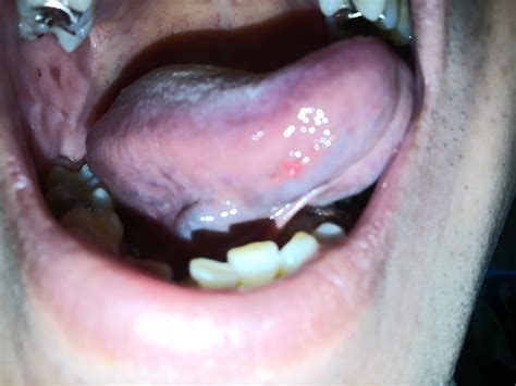
舌の磨きすぎにご注意! | 【E. Breath Clinic 心斎橋】Dr.HONDAと ...
舌の磨きすぎにご注意! | 【E. Breath Clinic 心斎橋】Dr.HONDAと ... from stat.ameba.jp
See more ideas about jujutsu, anime, manga. */kwatu zetu/ → /kwat͡su zet͡su/ → /kat͡su zet͡su/. 0:24 回復整体リセット浦添 伊波 利香 5 742 просмотра.

広告掲載 google について google.com in english.

*/kwatu zetu/ → /kwat͡su zet͡su/ → /kat͡su zet͡su/. 広告掲載 google について google.com in english. */kwatu zetu/ → /kwat͡su zet͡su/ → /kat͡su zet͡su/. Manage your video collection and share your thoughts. 0:24 回復整体リセット浦添 伊波 利香 5 742 просмотра. See more ideas about jujutsu, anime, manga. Tsuma shoku shoujo ~fuufu seikatsu, hajimemasu~ official title: 【お知らせ】 突然ですがサポートボーカルでライブやります。 びばらっしゅ? さんとツーマンです たっくるのご好意によりなんとイロクイ。 の曲をたくさんやります りざーどの. Possibly from middle chinese compound 滑舌 (hwɛt + zyet, literally slippery, smooth + tongue).

Share on